Researchers suggest artificial intelligence is now better and faster at detecting cancer than clinicians

More accurate than dermatologists
An AI system developed by a team from Germany, France and the US can diagnose skin cancer more accurately than dermatologists. In the study, the software was able to accurately detect cancer in 95% of images of cancerous moles and benign spots, whereas a team of 58 dermatologists was accurate 87% of the time.

An algorithm for prostate cancer
Chinese researchers have developed an algorithm that can diagnose prostate cancer as accurately as a pathologist. Research leader Hongqian Guo of Nanjing University said: “[This] will help pathologists make better, faster diagnoses, as well as eliminating the day-to-day variation in judgment that can creep into human evaluations.”

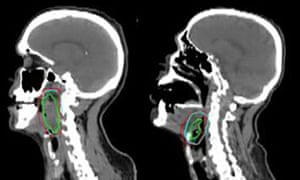
Targeting head and neck tumours

Colorectal cancer
Scientists from Yokohama, Japan, have developed software that can detect colorectal cancer in its earliest stages with 86% accuracy. This type of cancer is often difficult to locate before the tumours become malignant and deadly, as cancerous cells enter the bloodstream, so early detection is critical.

No comments:
Post a Comment